いったい秋はどこに行ったのだろう。猛暑から一転、12月並みに冷え込んだ「異常気象」の影響で、私たちの身体は悲鳴を上げている。しかも、重症化すれば命にかかわる感染症が猛威を振るっているのだ。「マイコプラズマ肺炎」や「インフルエンザ」といった呼吸器感染症が、例年以上に大規模な流行の兆しを見せており、公衆衛生上の大きな懸念となっている。迫りくる感染症大流行の危機からどう身を守ればいいのか。その術を、最新の知見に基づいて検証し、具体的な予防策と「秋バテ」対策を含めて解説する。
異常気象が感染症リスクを高めるメカニズム
近年、世界中で異常気象が頻発しており、日本も例外ではない。急激な気温の変化や季節外れの寒暖差は、私たちの身体に大きなストレスを与え、免疫機能の低下を招きやすい。このような環境変動は、ウイルスや細菌が活発化し、人々の間で感染が広がりやすい条件を作り出す。
急激な気温変化が免疫力に与える影響
私たちの身体は、一定の体温を保つことで健康を維持している。しかし、猛暑から急激な寒冷へと移行するような異常気象は、体温調節機能を疲弊させ、自律神経のバランスを崩しやすい。自律神経は免疫システムとも密接に関わっており、その乱れはNK細胞(ナチュラルキラー細胞)などの免疫細胞の活動を抑制する可能性がある。これにより、ウイルスや細菌に対する抵抗力が低下し、マイコプラズマ肺炎やインフルエンザといった感染症にかかりやすくなるのだ。特に、高齢者や乳幼児、基礎疾患を持つ人々は、この影響を強く受けやすい。
湿度とウイルスの生存期間
空気中の湿度も、感染症の流行に大きく関与する。乾燥した環境では、インフルエンザウイルスが空気中を浮遊する時間が長くなり、感染リスクが高まることが知られている。また、呼吸器系の粘膜も乾燥しやすくなり、バリア機能が低下するため、ウイルスが体内に侵入しやすくなる。異常気象による空気の乾燥は、これらの感染症の伝播を助長する要因の一つと考えられている。適切な室内湿度の維持は、感染症予防において重要な対策となる。
10月の日別最高気温(東京)
マイコプラズマ肺炎の現状と特徴
マイコプラズマ肺炎は、マイコプラズマ・ニューモニエという細菌によって引き起こされる呼吸器感染症である。通常、学童期の子どもに多いとされているが、近年は成人にも見られる。流行の規模は数年周期で変動するが、異常気象による免疫力低下が、今年の流行を加速させる可能性があると指摘されている。
症状と感染経路
マイコプラズマ肺炎の主な症状は、発熱、倦怠感、そして「しつこい咳」である。特に咳は、初期には乾いた咳から始まり、次第に湿った咳へと移行し、数週間から1ヶ月以上続くこともある。重症化すると、呼吸困難や肺炎に至るケースもあるため注意が必要だ。感染経路は、咳やくしゃみによる飛沫感染や、患者との濃厚接触による接触感染が主である。潜伏期間は2~3週間と比較的長く、症状が出る前に感染を広げてしまうこともある。
長引く咳の正体
「長引く咳」はマイコプラズマ肺炎の典型的な症状の一つだが、単なる風邪と見過ごされがちである。しかし、この咳は気管支や肺胞の炎症によるもので、放置すると気管支炎や肺炎が悪化するリスクがある。特に、咳が他の症状が治まった後も続く場合や、市販薬で改善しない場合は、マイコプラズマ肺炎の可能性を疑い、医療機関を受診することが重要だ。正確な診断と適切な抗菌薬治療が早期回復に繋がる。
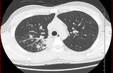
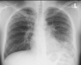
マイコプラズマに感染した患者の体内
診断と治療のポイント
マイコプラズマ肺炎の診断には、胸部X線検査で肺炎像を確認するほか、血液検査やPCR検査が用いられる。治療には、マクロライド系などの抗菌薬が効果的だが、一部のマイコプラズマには薬剤耐性を持つものも報告されているため、医師の指示に従った適切な薬の選択と服用が不可欠である。自己判断で服薬を中止すると再発や耐性菌の出現リスクを高めるため、必ず処方された期間、薬を飲み切ることが重要だ。
インフルエンザの流行と今年の傾向
インフルエンザは、インフルエンザウイルスによって引き起こされる急性呼吸器感染症で、毎年冬に大規模な流行を引き起こす。今年は、異常気象による免疫力低下に加え、新型コロナウイルス感染症の対策緩和によって、例年以上に警戒が必要とされている。
主な症状と合併症
インフルエンザの主な症状は、突然の高熱、頭痛、関節痛、筋肉痛、全身倦怠感などである。これらの全身症状に加えて、喉の痛み、鼻水、咳などの呼吸器症状も現れる。合併症としては、肺炎、気管支炎、中耳炎などがあり、特に高齢者や乳幼児、基礎疾患のある人では重症化しやすく、命にかかわることもある。最悪の場合、インフルエンザ脳症などの重篤な合併症を引き起こすこともあるため、症状が出た場合は速やかに医療機関を受診すべきである。
ワクチン接種の重要性
インフルエンザ予防には、ワクチン接種が最も効果的な手段の一つである。ワクチンは、発症を完全に防ぐことはできないまでも、重症化や合併症の発症リスクを大幅に軽減する効果がある。特に、毎年流行するウイルスの型は変動するため、シーズンごとに新しいワクチンを接種することが推奨される。医療従事者や、重症化リスクの高い人は、積極的にワクチン接種を検討すべきだ。
マイコプラズマに感染した患者の体内(光学顕微鏡像)
抗ウイルス薬の活用
インフルエンザを発症した場合、タミフルやゾフルーザなどの抗ウイルス薬が有効である。これらの薬は、発症後48時間以内に服用を開始することで、ウイルスの増殖を抑え、症状の軽減や回復期間の短縮に繋がる。しかし、抗ウイルス薬はあくまで治療薬であり、予防薬ではない。重症化を避けるためにも、早期の受診と医師の指示に従った適切な治療が重要となる。
今からできる効果的な感染症予防策
異常気象下での感染症大流行を防ぐためには、個人レベルでの予防策が不可欠である。日々の生活の中で意識できる具体的な対策を講じることで、感染リスクを低減し、自身の健康を守ることができる。
基本的な衛生習慣:手洗いとマスク
感染症予防の基本は、やはり手洗いとマスクの着用である。外出から帰宅した際や、食事の前、咳やくしゃみをした後には、石鹸と流水で丁寧に手洗いを励行する。アルコール消毒液も効果的だ。また、人混みや公共交通機関を利用する際は、不織布マスクを正しく着用することで、飛沫による感染拡大を防ぐことができる。これらの基本的な衛生習慣は、マイコプラズマ肺炎、インフルエンザだけでなく、他の様々な感染症に対しても有効である。
免疫力向上に繋がる生活習慣:「秋バテ」対策
異常気象による「秋バテ」は、自律神経の乱れや体調不良を引き起こし、免疫力低下の大きな要因となる。これを防ぎ、免疫力を高めるためには、以下の生活習慣を心がけることが重要だ。
- 十分な睡眠: 質の良い睡眠は、免疫細胞の生成と活動を促す。夜更かしを避け、規則正しい睡眠リズムを保つ。
 - バランスの取れた食事: ビタミン、ミネラル、タンパク質を豊富に含む食事を摂り、免疫機能をサポートする。特にビタミンCやDは重要とされている。
 - 適度な運動: ウォーキングや軽いジョギングなど、無理のない範囲で運動を続けることで、血行促進と免疫力向上に繋がる。
 - 体を冷やさない: 首元、手首、足首など「首」とつく箇所を温めることで、体温の低下を防ぎ、免疫力を維持する。
 - ストレス管理: ストレスは免疫力を低下させるため、趣味やリラックスできる時間を作るなどして、上手にストレスを解消する。
 - 室内環境の整備: 加湿器を使って適切な湿度(50~60%)を保ち、定期的な換気で空気の入れ替えを行う。
 
専門家が推奨する予防法
医療専門家は、上述の基本的な対策に加え、以下のような予防法も推奨している。
- 予防接種の積極的な検討: インフルエンザワクチンはもちろん、高齢者や特定の疾患を持つ人には肺炎球菌ワクチンも推奨される場合がある。
 - 体調管理の記録: 日々の体温や体調の変化を記録することで、異変に早期に気づき、迅速な対応が可能になる。
 - 人混みを避ける: 流行期には、不要不急の外出を控え、人混みを避けることも重要な予防策となる。
 
最新の感染症情報と公衆衛生の動向
感染症の流行状況は常に変化しているため、最新の情報を把握することが重要である。厚生労働省や国立感染症研究所、地方自治体のウェブサイトなどで公開される情報を定期的に確認し、適切な行動をとるよう心がけたい。
医療機関への早期受診のすすめ
もし発熱や長引く咳などの症状が出た場合は、自己判断せずに速やかに医療機関を受診することが重要である。特に、呼吸困難や意識障害など、重篤な症状が見られる場合は、迷わず救急医療機関を受診すべきだ。早期の診断と治療は、症状の悪化を防ぎ、周囲への感染拡大を抑制するためにも不可欠である。受診の際は、マスクを着用し、事前に医療機関に連絡して指示を仰ぐなど、感染対策に協力することが求められる。
結論
異常気象が常態化しつつある現代において、マイコプラズマ肺炎やインフルエンザといった感染症のリスクは高まる一方である。急激な気温変化や乾燥は私たちの免疫力を低下させ、ウイルスや細菌の活動を活発にさせる。このような状況下で感染症大流行の危機から身を守るためには、手洗いやマスク着用といった基本的な衛生習慣の徹底に加え、十分な睡眠、バランスの取れた食事、適度な運動、そして「秋バテ」対策を含む免疫力向上に繋がる生活習慣を確立することが極めて重要だ。
一人ひとりが意識的に予防策を講じ、体調管理に努めることが、自分自身だけでなく、社会全体の健康を守ることに繋がる。もし体調に異変を感じたら、ためらわずに医療機関を受診し、専門家の指示に従うことが、重症化を防ぎ、感染症の拡大を食い止めるための鍵となるだろう。今こそ、これらの知見を行動に移し、迫りくる感染症の脅威に立ち向かうべきである。
参考文献
- 厚生労働省. (最新情報). 感染症情報. https://www.mhlw.go.jp/stf/seisakunitsuite/bunya/kenkou_iryou/kenkou/kekkaku-kansenshou/index.html (参照 2025年11月4日)
 - 国立感染症研究所. (最新情報). 感染症週報. https://www.niid.go.jp/niid/ja/iasr.html (参照 2025年11月4日)
 - 日本呼吸器学会. (最新情報). 肺炎について. https://www.jrs.or.jp/modules/citizen/index.php?content_id=10 (参照 2025年11月4日)
 - 日本感染症学会. (最新情報). インフルエンザQ&A. https://www.kansensho.or.jp/modules/qa/index.php?content_id=14 (参照 2025年11月4日)
 
					




